Skip Menu
Continue
Call
Today
for a Free Consultation
Existing Patients:
(816) 350-9119
New Patients:
(816) 600-0139
4045 NE Lakewood Way, Lee's Summit, MO 64064
Home
About Us
Our Office
New Patients
Smile Gallery
Dental Videos
Testimonials
Our Doctors
Gregory Calloway, DDS
Services
All on 4®
All on 6®
View All
Dental Health
Contact
Contact Us
Request Appointment
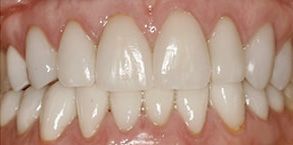
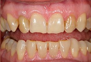
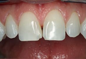
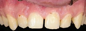
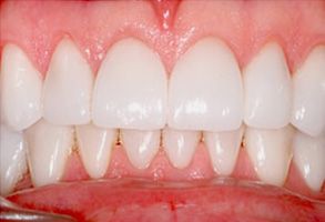
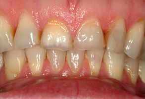
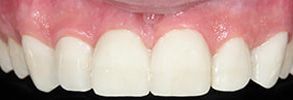
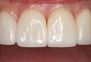
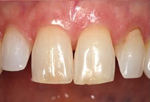
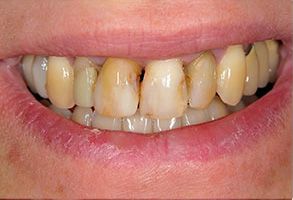
Smile Gallery
Before
After
Before
After
Before
After
Before
After
Before
After
Before
After
Before
After
Before
After
Before
After
4045 NE Lakewood Way, Suite 150
Lee's Summit, MO 64064
Existing Patients:
(816) 350-9119
New Patients:
(816) 600-0139
Appointment
Contact Us